Indian Journal of Ayurveda & Research

Evaluation of an Ayurvedic Polyherbal Formulation (Sindhuvaradi Agada) in Doxorubicin induced Cardio-toxicity- in wistar rats
Shrutika Subhash Karoshi1,Kolume Dugeppa Govindappa2,Kalanghot Padmanabhan Skandhan3

1.Department of Agada Tantra Evan Vidhi Vaidyaka, KAHER’s B .M .Kankanwadi Ayurved Mahavidyalaya, Belagavi-590003, Karnataka, India

  1. Department of Agada Tantra, Taranath Government Ayurvedic Medical College, Dr Rajkumar Road, Bellary, Karnataka, India- 583101
  2. KAHER,s Shri B. M. Kankanwadi Ayurved Mahavidyalaya Belagavi, Karnataka, India- 590003

                                                                                          Abstract
Background:Presently cancer is second major cause of death in India. Doxorubicin, an anthracycline is frequently used to treat various human malignancies but at same time its use is warranted with irreversible cardiomyopathy. Ayurveda, ancient science of Medicine has advocated various herbal drugs for toxicological cases which include protection of Hrudaya (cardio-protective) and Sindhuvaradhi Agada is one of them indicated for cobra envenomation.

Objective: Study was aimed to evaluate Sindhuvaradi Agada in Doxorubicin induced cardio-toxicity in Wistar rats.

Methodology: Group I served as control. Cardio-toxicity was induced by Doxorubicin administration (15 mg/kg body weight for 2 weeks) in Group II. Group III was pretreated with aqueous solution of Sindhuvaradi Agada(216 mg/kg body weight) for 2 weeks followed by Doxorubicin for next 2 weeks. In Group IV cardio-toxicity was produced by Doxorubicin administration for 2 weeks followed by administration of Sindhuvaradi Agada in next 2 weeks. General mortality, histopathology of heart and biomarker enzymes (CPK-MB, SGOT, SGPT and Lipid Profile)was evaluated.

Results: Pretreatment with Sindhuvaradi Agada significantly (p<0.05) controlled myocardial damage as reflected in biomarker enzymes [CPK-MB (241.3 ± 5.25), SGOT (225.8 ± 6.63)] and also minimized the cardio myocyte damage when compared to Doxorubicin treated group [CPK-MB (258.8 ±18.33),SGOT(534 ± 102.8)].

Keywords: Cardio-toxicity, Sindhuvaradi agada, Nirgundi, Doxorubicin, Cancer.

How to cite this article: Karoshi S S, Kolume D G, Skandhan K P. Evaluation of an Ayurvedic polyherbal formulation (Sindhuvaradi agada ) in Doxorubicin induced Cardiotoxicity – wister rats .Indian J Ayurveda Res 2018; 1:39-42

Address for Correspondence:
Dr Shrutika S. Karoshi,
Department of Agada Tantra Evan Vidhi Vaidyaka, KAHER’s B .M .Kankanwadi Ayurved Mahavidyalaya, Belagavi-590003, Karnataka, India
Email-shrutikakaroshi05@gmail.com

Financial Support and Sponsorship:None, Conflicts of Interest: None

Introduction
Cancer is a challenging disease and the second largest cause of death after ischemic heart disease in India,[1]irrespective of advancements and researches made in Health Sciences. Its treatment modalities include surgery, radiations and chemotherapy. Doxorubicin (DOX), an anthracycline, one of the effective chemotherapy agent is commonly used against different types of human cancers. Its clinical use is limited due to unusual and often irreversible cardiomyopathy.[2] Studies discovered that generation of reactive oxygen species (ROS) play a major role in DOX induced cardio-toxicity.[3]
Indian Cobra (Naja naja) venom contains neurotoxin and cardiotoxin causing respiratory paralysis and cardiac failure leading to death.[4] In Cobra envenomation the major cause of mortality is cardiomyopathy.[5]
In Ayurveda, to treat inanimate and animate toxicities several herbal drug combinations have been explained as per systemic signs. Amongst them few are available for the treatment, practice and adopted in different medical conditions viz., Bilwadi agada, Dashanga agada, Dooshivishari agada, Murvadi agada etc. [6,7] Contextual understanding of inanimate toxicity can be considered for Doxorubicin induced toxicity.
Protective and curative effect of Sindhuvaradi agada (SA) in Doxorubicin induced cardio-toxicity in male Wistar rats was evaluated in this study.

Materials and Methods

Preparation of SA
Drugs of SA were collected from natural habitat and authenticated at AYUSH approved ASU Drug Testing Laboratory of Shri B M Kanakanwadi Ayurveda Mahavidyalaya, Belagavi, Karnataka, India. SA was prepared by taking equal proportionof fine powders of 3 herbal drugs i.e. Nirgundi moola (Vitex negundo Linn.Root), Vacha kanda (Acorus calamus Linn.Rhizome),Aparajita panchanga (Clitorea ternatea Linn. Whole plant) as described in Ashtanga Hridaya Uttaratantra Sarpavishapratishedhiya Adhyaya. [8]

Experimentation:
After permission from Institutional Animal Ethical Committee (BMK/IAEC/Res-03/2013) study was initiated. Six male Wistar rats (180 – 200 gms), were allotted to four groups each (n=24), and were given standard diet and water ad libitum. Dosage of SA was designed in accordance with Paget’s and Barne’s Dose Conversion Table.[9]
Doxorubicin (50mg) of Cipla Ltd., India (Batch. No. J30096, MFD-Mar 13, EXP- JUN 15) was used to induce cardio-toxicity.

Table 1: Experimental Groups and Interventions

Groups Interventions
Group I Nil
Group II DOX 2.5mg/kg body weight on every alternate day (cumulative dose 15mg/kg) intra-peritoneal for 12 days
Group III First 15 days SA orally 216mg/kg;

from 16th day DOX 2.5mg/kg body weight every alternate day (cumulative dose 15mg/kg) intra-peritoneal for 12 days

Group IV DOX 2.5mg/kg body weight on every alternate day (cumulative dose 15mg/kg) intra-peritoneal for 12 days;
from 13th day SA given orally 216mg/kg BW for 15 days

On 13th day of the study,Group II animals anaesthetized to withdraw blood through retro orbital puncture and were sent for biochemical investigations including CPK-MB, SGOT, SGPT and Lipid profile.After euthanasia heart was collected immediately for histo-pathological studies by removing extraneous tissue and transferred in 10% formalin solution. Similar procedure was followed on 28th day for animals of Group III and Group IV.[10] Histo-pathological study was carefully done on cardiac muscle to understand congestion, focal hemorrhage, inflammation, edema, macrophage activity, cardiac muscle separation, focal necrosis, intra-cytoplasmic vacuoles, hyalinization, myocyte drop out, myofibrillar degeneration, eosinophilia of cytoplasm, myocyte swelling, lipid inclusion, interstitial fibrosis and intravascular hemolysis.
Data obtained from biochemical parameters and ratio of heart weight to body weight was assessed with one-way ANOVA followed by Tukey-Kramer Multiple Comparisons Test.

Results
Results of biochemical parameters (Table A2) and ratio of heart weight to body weight (Table 3) are shown below.

Table 2: Results of Biochemical parameters expressed as Mean ± SE

Biochemical
Parameters
Groups
I II* III** IV**
SGOT (U/L) 146 ± 15.05+ 534 ± 102.8
(p < 0.05)
225.8 ± 6.63
(p < 0.05)
454 ± 39.82
(p > 0.05)
SGPT (U/L) 105.7 ± 3.20 132.0 ±35.4
(p < 0.05)
83.67 ± 1.45
(p > 0.05)
122.0 ± 13.19
(p < 0.05)
CPK-MB (U/L) 138.5 ± 10.31 258.8 ±18.33
(p < 0.05)
241.3 ± 5.25
(p > 0.05)
220.0 ± 24.93
(p < 0.05)
Serum Cholesterol (mg%) 38.5 ± 3.13 78.4 ± 18.09
(p < 0.05)
34.67 ± 2.43
(p < 0.05)
58.2 ± 4.32
(p > 0.05)
HDL (mg %) 23.67 ± 2.23 26.8 ± 1.15
(p < 0.05)
20.5 ± 0.76
(p < 0.05)
21.0 ± 0.89
(p > 0.05)
LDL (mg %) 27.17 ± 3.18 26.08 ± 18.07
(p < 0.05)
16.67 ± 6.03
(p > 0.05)
15.72 ± 4.17
(p > 0.05)
Triglycerides (mg %) 75.83 ± 5.06 172.2 ± 20.3
(p < 0.05)
154.3 ± 21.7
(p < 0.05)
107.2 ± 7.86
(p < 0.05)

*compared with Group I, ** compared with Group II

Table 3: Showing result of Ratio of Heart weight to Body weight expressed as Mean ± SE

Parameters Groups
I II* III** IV**
Ratio Of Heart weight To Body weight 3.620 ± 0.02+ 3.982 ± 0.12
(p > 0.05)
3.293 ± 0.12
(p < 0.05)
3.292 ± 0.13
(p < 0.05)

*compared with Group I, ** compared with Group II

Histopathology Results:

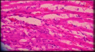
GroupI: Histology of heart showed normal architectural features(Fig.1)

GroupII: Showed congestion, inflammation, oedema, cardiac muscle separation, intra-cytoplasmic vacuoles, myofibrillar degeneration, interstitial fibrosis in moderate to marked level(Fig.2)

GroupIII: Showed mild congestion and other features of damages were completely absent when compare with Doxorubicin control.(Fig.3)

GroupIV: Showed congestion, inflammation, oedema, cardiac muscle separation, myofibrillar degeneration in mild level, which was comparatively less severe than Group II.(Fig.4)

Figure 1:Group Is howing normal myocardial fibres and artitecture (40x)

Figure 2:Group II showing loss of myofibrils and vacuoles (40x)

Figure 3:Group III i.e. Sidhuvaradi Agada treated preventive group (40x)

Figure 4: Group IV i.e. Sindhuvaradi Agada treated curative group (40x)

Discussion
In animal model, Doxorubicin is preferred for investigating the efficacy of cardio-protective activity of drugs. Most in vitro and in vivo studies during the past several decades have suggested Doxorubicin-induced cardiac toxicity are associated with cardiomyocyte apoptosis and necrosis.[11] Neilan T G et.al, observed that Doxorubicin exhibits its anti-cancer activity by inhibiting topoisomerase enzyme and subsequently blocking DNA resealing during cell replication. During this process,reactive oxygen species (ROS) are generated; which have crucial role in oxidative-stress induced cardiotoxicity. Recent findings indicate that endothelial nitric oxide synthase (eNOS) reductase domain converts Doxorubicin to an unstable semi-quinone intermediate which favors ROS generation.[12]
Our study findings was in corroboration with Takemura G et al, which showed increase in serum creatine kinase a sensitive cardiac marker for assessing myocardial damage, an increase in SGOT and altered lipid profile due to myofibril degeneration. This was also evident by the Histo-pathological profile showing congestion, focal hemorrhage, inflammation, oedema, cardiac muscle separation, myofibrillar degeneration and myocyte swelling. These toxic expressions may be either due to depletion of glutathione store or free radical generation or lipid peroxidation.[13]
Sindhuvaradi agada pre-treated group revealed a significant (p<0.05) reduction in serum enzymes like CPK-MB (241.3 ± 5.25), SGOT (225.8 ± 6.63) in comparison with G II CPK-MB (258.8 ±18.33), SGOT (534 ± 102.8) while G IV didn’t show such significance. Lipid profile levels showed a mixed presentations where in LDL level in G III and G IV (p>0.05) showed no difference in comparison with G I which means it has protective role in toxicity of Doxorubicin(Table 2). Histopathological studies also confirmed protection of heart as seen in its histology as mild to moderate level damage (Fig 2&3).
Studies conducted on Vitex negundo Linn. has shown cardiotonic, anti-oxidant, lipid peroxidation inhibitory activity;[14,15,16] Acorus calamus Linn. exhibited antioxidant, anti-hyperlipidaemic action and relaxant effect in cardiovascular diseases;[17,18,19] Clitorea trenatea Linn. also revealed antioxidant, cytotoxic and scavenging activity.[20,21,22]
After considering research profile of ingredients of Sindhuvaradi Agada the possible mechanisms for minimizing the cardiac damage could be through either by scavenging the free radicals generated during Doxorubicin metabolism or stimulating the glutathione (GSH) or inhibiting the prostaglandin synthesis, which is known mediator of inflammation. These mechanisms could reduce myocyte damages or inhibit the lipid peroxidation and reduce free fatty acids levels which is mainly related to cardiovascular diseases. Further extensive studies should be carried out using some more models of experimental cardiac damage, which may help in establishing a definite rationale for its therapeutic use.

Conclusion
Sindhuvaraadi Agada pretreatment has reduced Doxorubicin induced cardio-toxicity in terms of reduction in CPK-MB, SGOT, maintaining Lipid profile and minimizing cardiac myocyte damage.

Financial Support and Sponsorship 
Nil

Conflicts of Interest
There are no conflicts of interest.

References:

  1. Mallath MK, Taylor DG, Badwe RA, Rath GK, Shanta V, Pramesh CS, Digumarti R, Sebastian P, Borthakur BB, Kalwar A, Kapoor S, Kumar S, Gill JL, Kuriakose MA, Malhotra H, Sharma SC, Shukla S, Viswanath L, Chacko RT, Pautu JL, Reddy KS, Sharma KS, Purushotham AD, Sullivan R. The growing burden of cancer in India: epidemiology and social context. Lancet Oncol,2014, 15(6): 205–212.
  2. Tripathi KD, Essentials of Medical Pharmacology. New Delhi, Jaypee Brothers’ Medical Publications, 2008,803
  3. Mobaraki M, Faraji A, Zare M, Dolati P, Ataei M, Manshadi DHR. Molecular Mechanisms of Cardiotoxicity: A Review on Major Side-effect of Doxorubicin. Indian J Pharm Sci,2017, 79(3):335-344
  4. Gaitonde BB, Bhattacharya S. An epidemiological survey of snakebite cases in India.1980 Snake 12:129-33.
  5. Cher C D N, Armugam A, Zhu Y Z, Jeyaseelan K. Molecular basis of cardiotoxicity upon cobra envenomation. Cellular Molecular Life Sci,2005 62(1):105–118
  6. Achraya Vagabhata, Ashtanga Hridaya with Sarvangasundara Teeka of Arunadatta and Ayurveda rasayana of Hemadri, Uttaratantra, Chapter 36, Sarpaprathishedaadhyaya, Chaukhamba Surabharati Prakashan, Varanasi, 2017, 907-914
  7. Achraya Sushruta, Sushruta Samhita with Nibandhasangraha commentary of Dalhanaacharya and Gayadasa, Kalpasthana, Adhyaya 1-8, Chaukhamba Surabharati Prakashana, Varanasi 2012.
  8. Achraya Vagabhata, Ashtanga Hridaya with Sarvangasundara Teeka of Arunadatta and Ayurveda rasayana of Hemadri, Uttaratantra, Chapter 36, Sarpaprathishedaadhyaya, Verse 57, Chaukhamba Surabharati Prakashan, Varanasi, 2017,911
  9. Ghosh MN. Fundamentals of Experimental Pharmacology, Hilton and Company, Kolkata 2008, 178
  10. Thippeswamy AHM, Shirodkar A, Koti BC, Jaffar Sadiq JA, Praveen DM, Viswanatha Swamy AHM, Patil M. Protective role of Phyllanthus niruri extract in Doxorubicin induced myocardial toxicity in rats, Indian J Pharmacol.2011, 43 (1): 31-35
  11. Zhang YW, Shi J, Li YJ, Wei L. Cardiomyocyte death in Doxorubicin-induced cardiotoxicity; Arch Immunol Ther Exp 2009 57(6): p 435–445,
  12. Neilan TG, Blake SL, Ichinose F, Raher MJ, Buys ES, Jassal DS, Furutani E, Perez-Sanz TM, Graveline A, Janssens SP, Picard MH, Scherrer-Crosbie M, Bloch KD. Disruption of nitric oxide synthase 3 protects against the cardiac injury, dysfunction, and mortality induced by Doxorubicin. Circulation,2007 116:506–514.
  13. Takemura G, Fujiwara H. Doxorubicin- induced cardiomyopathy from the cardiotoxic mechanism to management. Progress in Cardiovascular Diseases,2007 49 (5): 330-352
  14. R. Kulkarni, A. D. Virkar, and Priscilla D’mello Antioxidant and Anti-inflammatory Activity of Vitex negundo, Indian J Pharm Sci. 2008 Nov-Dec; 70(6): pp 838–40.
  15. T. Paiet. al., Evaluation of cardiotonic activity of leaves of Vitex negundo Linn., International Journal of Green Pharmacy. 2009 Oct-Dec;306-09.
  16. Shah, Abdul Jabbar, Gilani, Anwarul Hassan. Blood Pressure-lowering and Vascular Modulator Effects of Acorus calamus Extract Are Mediated through Multiple Pathways, Journal of Cardiovascular Pharmacology. July 2009: Vol 54 (1) 38-46.
  17. Parab R S, Mengi S A. Evaluation of hypolipidemic activity of Acorus calamus in rats, Indian Drugs. 2003: Vol 40 (1) 25-29.
  18. Chandana Choudhury Barua et al., A comparative study of the in vitro antioxidant property of different extracts of Acorus calamus Linn, J. Nat. Prod. Plant Resour.,2014: Vol 4 (1) 8-18.
  19. A P Patil et al., Comparative Evaluation of in vitro Antioxidant Activity of Root of Blue and White Flowered Varieties of Clitorea ternatea, International Journal of Pharmacology., 2011 1-7.
  20. Rabeta, M. S. Nabil, Z. A. Total phenolic compounds and scavenging activity in Clitoria ternatea and Vitex negundo, International Food Research Journal 2013: Vol 20 (1),495-500.
  21. Manju Lata Zingare et al., Clitoria ternatea (Aparajita): A Review Of The Antioxidant, Antidiabetic And Hepatoprotective Potentials, International Journal of Pharmacy and Biological Sciences2013 Jan-Mar: Vol 3 (1) 203-13.
  22. Sharma PC, Yelne MB, Dennis TJ. Database on Medicinal Plants Used In Ayurveda. New Delhi CCRAS Publication. 2001, Vol (1) 22 & 469, Vol (3) 450